首页 > 种植牙

南京种牙齿多少钱

来源:康贝佳口腔医院     阅读量:

  很多人认为种植牙是有钱人才能种得起的缺牙修复技术,这种想法是错误的,其实每个人都可以负担的起种植牙费用,种植牙占比较大的费用,其实就有三部分:种植体、基台、牙冠,这三部分高低不同价位的品牌有很多,顾客都可根据自己的经济实力来进行选择!

种植牙价格的主要影响因素

  一、个人缺牙情况:牙齿缺失的个数,口腔是否存在着其他病变、骨密度情况等等这些都导致价格高低不一的原因。>>>在线诊断缺牙情况,确定具体价格

  二、选择的种植体和牙冠材料:虽然大部分的种植牙都是由牙根、基台、牙冠组成,但是无论是哪部分不同都会影响到价格的。牙根的不同就表示种植牙系统不一样,在稳定性、寿命等方面都是不一样的。牙冠一般分为金属烤瓷牙和全瓷牙。两种材料的不同,价格也会有很大的差别的。>>>种植牙材料有哪些,在线了解

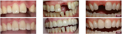
缺一颗牙可引起邻牙倾斜及脱落

康贝佳种植牙价格表 透明价格实惠好牙

多品牌种植体 全面为您量“牙”定制

  康贝佳微创种植牙、即刻种植牙、all-on-4全/半口种植牙技术,满足不同缺牙顾客需求,并囊括多种国际先进种植系统,根据每个人的口腔及颌面情况的不同,推荐适合顾客的种植体,医生与顾客共同决定手术方案,确保术后效果。

种植牙分类太多 看不明白直接在线问

【康贝佳10分钟即刻种植牙经典案例】

康贝佳口腔更多种植牙案例?点击咨询



为什么那么多人选择康贝佳种植牙?

1、汇聚中意韩医师,为口腔健康保驾护航!

  康贝佳口腔医院不仅有国内的医师坐诊,而且会定期邀请意大利、韩国等多名种植牙医师长期巡回坐诊,让康贝佳口腔每一位顾客都能得到医师亲情式的询诊、诊后辅导和专属个性化的诊疗方案,有医师坐诊让您更放心。

经验丰富的国内外种植医师 在线预约医师

2、高端齿科服务标准,仁心仁术赢顾客口碑

  自康贝佳建院以来,秉承高端口腔医疗服务水平,多年来坚持开展诚信医疗服务全媒体调查,向百姓推荐以诚为本、诚信为民的有社会责任感的医疗卫生单位。多次获得"读者信赖的口腔机构"、“市医疗服务质量整体评估A级”、民生服务业"市民满意单位"、"诚信医疗承诺守信单位"、"仁心医疗机构"、“敬老爱牙文明单位”等荣誉称号。

直接在线问牙齿缺失很多年还可种植吗?

3、康贝佳公益行 爱心永传递

  康贝佳口腔一直坚持积极开展和参与公益活动,长期举办口腔保健公益讲座、公益义诊、走进社区、儿童早教中心、青少年培训机构、企事业单位、老年大学、养老院等,惠及市民,以优质的服务和优美环境、平价收费等深受顾客朋友的广泛好评.....详细

4、市医保定点单位 种牙省心更实惠

  康贝佳口腔医院正式获批成为市医保定点单位,今后,市民前来康贝佳口腔就诊时,不仅能享受到国际高品质医疗服务而且还可享受市医保带来的实惠和便捷。康贝佳收费透明,严格遵循市卫生局物价局标准,打造百姓放心的口腔医院。

  康贝佳口腔提醒您:种植牙应选择正规专业的口腔医院进行种植,避免出现不必要的危害!如果您还有什么疑问或者想了解更多可以在线咨询或者拨打400-025-0505进行咨询。

热点关注/Hot spot更多+